Dra Daniele Galazi
Odontologia Estética
Telefone : 27 3711-9100
Email : contato@odontologiasaomiguel.com.br
Email : contato@odontologiasaomiguel.com.br
Profissional
Daniele Ribon Galazi Brandão / 2977 ES
> Odontologia UNIVALE
> Mestrado em Dentística
> Especialização em Endodontia
> Odontologia UNIVALE
> Mestrado em Dentística
> Especialização em Endodontia
Atuação
> Lentes de contato
> Facetas de resina
> Clareamento
> Limpeza
> Canal
> Restaurações
> Coroas de porcelana
> Facetas de resina
> Clareamento
> Limpeza
> Canal
> Restaurações
> Coroas de porcelana
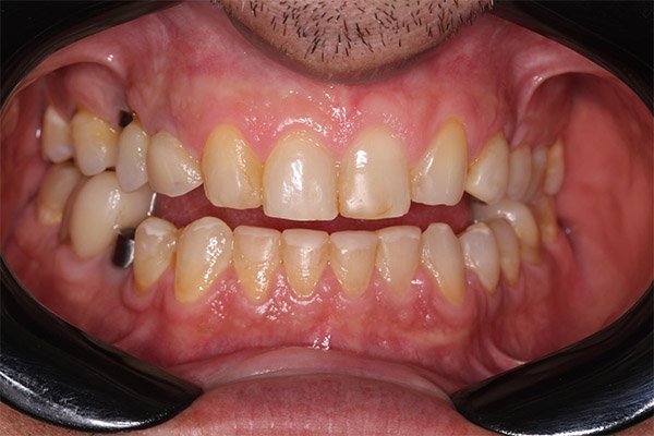
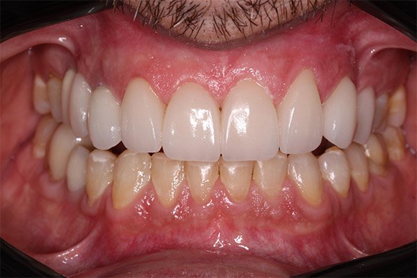
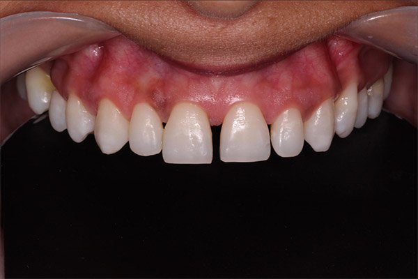
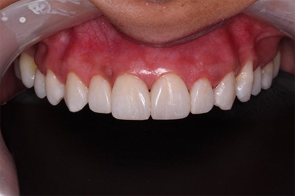
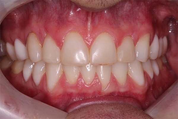
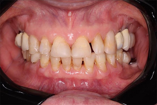
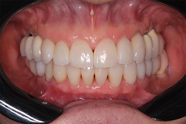
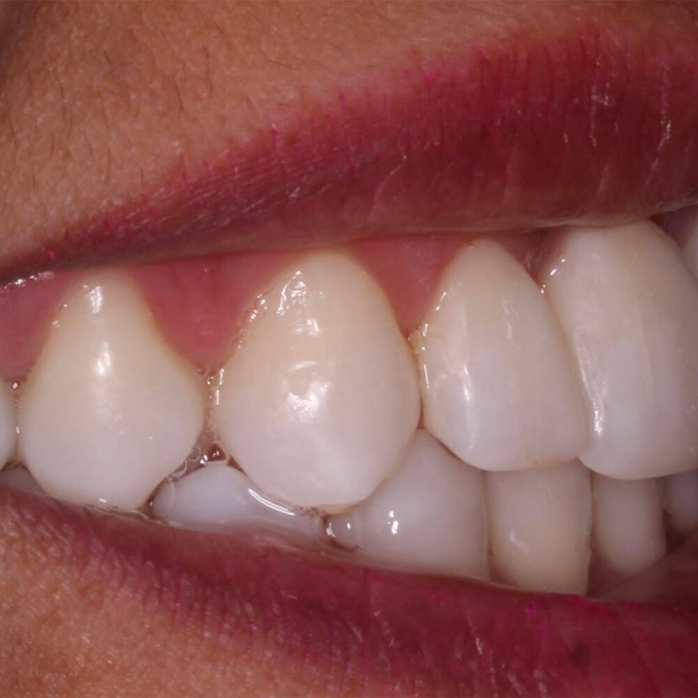
Antes e Depois
IMAGENS REAIS – sem qualquer tipo de manipulação!









































